Any lump formed by body cells may be referred to technically as a tumour. However, not all tumours are malignant (cancerous). Most breast lumps – 80% of those biopsied – are benign (non-cancerous). The following are examples of the most common benign breast conditions which produce lumps.
Fibrocystic Changes
This is not a disease, but rather a benign (not cancer) condition affecting 50 to 60 percent of all women. Fibrous breast tissue, mammary glands, and ducts overreact to the normal hormones produced during ovulation, such as oestrogen. This results in the development of fibrous tissue and/or numerous, small multiple cysts, (fluid-filled sacs). Fibrocystic changes are an exaggerated response of breast tissue to changes of ovarian hormones.
Fibrocystic changes are the most common non-cancerous breast condition. They are most common in women between the ages of 20 and 50. They are unusual after menopause unless a woman is taking hormones replacement therapy.
The size and tenderness of Fibrocystic lumps usually increase before menstruation, decreasing after the period ends. This condition generally disappears after menopause. It is not a risk factor for breast cancer
Recent research has reported that the chemical called methylxanthines, found in coffee, tea, cola, chocolate and some diet and cold medication, seems to promote the growth of Fibrocystic tissue.
Fibroadenomas
These benign tumours are solid lumps of fibrous and glandular tissue. They occur most frequently in women between 18 and 40 and account for nearly all breast tumours in women under 40.
Fibroadenomas can be:
- Tender (usually just before menstruation)
- Generally movable when palpated (rolled with pads of the fingers).
- Have NO malignant potential
- Confirm with core biopsy
- Natural History
- 26% involute and 20% increase in size
- 54% no change in size
Management may be conservative or surgical.
A surgical excision is performed from an incision that can be hidden, either around the areolar margin, or from the inframammary fold.
A general anaesthetic is required but can b performed as a day case with minimal post operative down time.
If not surgically excised, should survey with serial Ultrasound in case a palpable tumour can mask an early breast cancer.
Phylloides
Phylloides tumours of the breast are rare, accounting for less than 1% of all breast tumours. The name “phyllodes,” which is taken from the Greek language and means “leaflike,” refers to that fact that the tumour cells grow in a leaflike pattern. Phylloides tumours tend to grow quickly, but they rarely spread outside the breast.
Although most phylloides tumours are benign (not cancerous), some are malignant (cancerous) and some are borderline (in between noncancerous and cancerous). All three kinds of phyllodes tumours tend to grow quickly, and they require surgery to reduce the risk of tumour coming back in the breast (local recurrence).
Phylloides tumours can occur at any age, but they tend to develop when a woman is in her 40s. Benign phylloides tumours are usually diagnosed at a younger age than malignant phylloides tumours. Phyllodes tumours are extremely rare in men.
The tumours are usually felt as a painless breast lump. They tend to grow quickly and stretch the skin. Sometimes they are seen first on an imaging test (like an ultrasound or mammogram), in which case they’re often hard to tell apart from fibroadenomas. The diagnosis can often be made with a core needle biopsy, but sometimes the entire tumour needs to be removed as an excisional biopsy to know for sure that it’s a phyllodes tumour, and whether it’s malignant or not.
How do phyllodes tumours affect your risk for breast cancer?
Having a benign phyllodes tumour does not affect your breast cancer risk, but you may be watched more closely and get regular imaging tests, because these tumours can come back after surgery.
Breast Lumps Treatment
Breast-conserving surgery (lumpectomy or partial mastectomy), in which part of the breast is removed, is typically the main treatment. Phylloides tumours can sometimes come back in the same place if they are removed without taking enough of the normal tissue around them. For this reason, a margin of normal breast tissue around the tumour is taken out as well. Mastectomy (removal of the entire breast) may be needed if a cancer-free margin of normal breast tissue cannot be taken out with the tumour.
Breast Cysts Treatment
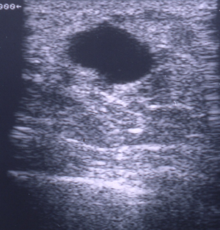
Breast cysts are fluid-filled sacs inside the breast. They are usually noncancerous simple cysts (benign). You may have one or multiple breast cysts. A breast cyst often feels like a grape or a water-filled balloon, but sometimes a breast cyst feels firm. Breast cysts tend to be caused by hormonal influences (eostrogen).
Breast cysts don’t require treatment unless a cyst is large and painful or uncomfortable. In that case, draining the fluid from a breast cyst can ease symptoms. It can be drained by aspirating the cyst with a fine needle. Removing the fluid may reduce pressure and pain for some time as well as being diagnostic. Usually clear, yellow or greenish fluid is not dangerous.
Although breast cysts can be found in women of any age, they are more common in women before menopause, typically under age 50. But they can be found in women of any age. Breast cysts also commonly occur in postmenopausal women who take hormone therapy.
A solid component to the cyst is termed a complex cyst. This sometimes requires a biopsy to ascertain whether it is associated with a cancer.




